Best Composite Filling in Faridabad

Best Composite Filling in Faridabad
Book Your Appointment

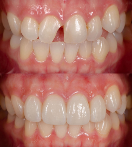
At Dr. Dipti’s Smile Suite, we provide high-quality tooth-coloured composite fillings that restore damaged teeth while keeping your smile natural and beautiful. Our treatments are done in a fully sterilised, modern, and patient-friendly clinic, ensuring comfort, safety, and long-lasting results.

Why Choose Composite Fillings?

  • Natural Tooth Colour: Blends perfectly with your natural teeth.
  • Strong & Durable: Repairs cavities, cracks, and fractures.
  • Cosmetic & Functional: Restores both appearance and strength.
  • Safe & Painless: Performed under local anesthesia for comfort.
  • Single-Visit Treatment: Completed in one appointment.

Our Treatment Approach

Only the decayed portion of the tooth is carefully removed, preserving healthy tooth structure. A protective base is placed when required, followed by precise shaping and light-curing of the composite filling to ensure strong bonding and durability. The tooth is polished to restore its natural shape and bite.

Choose Dr. Dipti’s Smile Suite for safe, aesthetic, and long-lasting composite fillings in Faridabad, and smile with confidence again

Feature image 14
Feature image 15

Frequently Asked Questions

The most obvious answer is appearance. All-white fillings will not compromise your gorgeous smile. Another benefit of composite fillings is that they require less removal of healthy tooth structure, allowing for more conservative restorations.

There are many factors that can determine just how long it will take to get a composite filling, including the size of a cavity or fracture, its location, and how many fillings you need. Patients should be prepared to sit in the dentist’s chair for up to one hour or more for a filling.

Many patients see their composite fillings lasting for about ten years. But if you take really great care of your fillings, they may be able to last you longer than that — and even a lifetime! In order to help your composite fillings last longer, you should always see your dentist twice a year for regular dental cleanings and exams, brush your teeth twice a day, floss every day, and eat a variety of healthy food to boost your oral health.

Watch & Learn: Dental Care Explained

Video Library

Early dental care for kids video thumbnail Early Dental Care For Kids
Crooked smile treatment options video thumbnail Choosing the Best Solution for a Crooked Smile
Dental fluorosis treatment explained video thumbnail Dental Fluorosis Treatment Explained
Fluorosis in kids explained video thumbnail Fluorosis in Kids Explained
Smile makeover with aligners video thumbnail Smile Makeover With Aligners